加拿大英属哥伦比亚儿童医院Dix等报告,对仅肺转移的、良性组织学类型的肾母细胞瘤(FHWT)患儿,1q增益对比肺部肿瘤负荷是更好的预后指标。(J Clin Oncol. 2025年11月12日在线版)
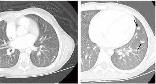
1q 增益指肿瘤细胞中1号染色体长臂(1q)存在额外拷贝,属于染色体结构异常的一种形式。伴肺转移的FHWT患儿的预后不如局限性疾病患者的。为了评估同样治疗方案对Ⅳ期FHWT各亚组患儿肺部肿瘤负荷的影响,该研究自AREN0533试验纳入仅伴有肺转移的FHWT患儿。

2个周期的长春新碱、放线菌素D、多柔比星(DD-4A方案)化疗后,研究者采用胸部CT评估肺结节应答情况,以确定肺结节快速完全缓解(RCR)队列和肺结节缓慢的不完全缓解(SIR)队列;在两个队列中比较肺转移数量和大小对无事件生存(EFS)和总生存(OS)的影响,其中RCR队列接受额外的DD-4A方案但不接受肺部放疗,SIR队列接受原来的三药加环磷酰胺/依托泊苷(M方案)并配合肺部放疗。
针对EFS及OS的多变量Cox比例风险模型按治疗情况进行分层,校正肿瘤1q增益因素后,评估肺转移数量和大小对生存的影响。

结果显示,AREN0533试验共招募288例仅伴肺转移的Ⅳ期患儿,其中251例符合纳入标准并接受分析。在RCR队列(105例)中,肺转移数量对EFS和OS无显著影响;肺转移大小显著影响EFS(P=0.022),但对OS无显著影响。在SIR队列(146例)中,肺转移数量或大小对EFS和OS均无显著影响。
在多变量模型中,肺转移数量和大小对EFS或OS均无显著的相关性 ;但校正了这些因素后,1q增益仍与生存显著相关(EFS:P=0.0015;OS:P=0.039)。
(编译 刘洋)